PathFound Dynamic Evidence-seeking in Pathological Diagnosis
📝 Original Paper Info
- Title: PathFound An Agentic Multimodal Model Activating Evidence-seeking Pathological Diagnosis- ArXiv ID: 2512.23545
- Date: 2025-12-29
- Authors: Shengyi Hua, Jianfeng Wu, Tianle Shen, Kangzhe Hu, Zhongzhen Huang, Shujuan Ni, Zhihong Zhang, Yuan Li, Zhe Wang, Xiaofan Zhang
📝 Abstract
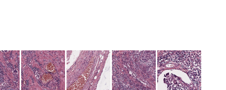
Recent pathological foundation models have substantially advanced visual representation learning and multimodal interaction. However, most models still rely on a static inference paradigm in which whole-slide images are processed once to produce predictions, without reassessment or targeted evidence acquisition under ambiguous diagnoses. This contrasts with clinical diagnostic workflows that refine hypotheses through repeated slide observations and further examination requests. We propose PathFound, an agentic multimodal model designed to support evidence-seeking inference in pathological diagnosis. PathFound integrates the power of pathological visual foundation models, vision-language models, and reasoning models trained with reinforcement learning to perform proactive information acquisition and diagnosis refinement by progressing through the initial diagnosis, evidence-seeking, and final decision stages. Across several large multimodal models, adopting this strategy consistently improves diagnostic accuracy, indicating the effectiveness of evidence-seeking workflows in computational pathology. Among these models, PathFound achieves state-of-the-art diagnostic performance across diverse clinical scenarios and demonstrates strong potential to discover subtle details, such as nuclear features and local invasions.💡 Summary & Analysis
1. **Understanding the Core Principles of Quantum Computing**: Unlike traditional binary computers, quantum computers process information using quantum bits (qubits). Grasping this concept is crucial for understanding how quantum computers solve complex computational problems.-
Advancements in Quantum Algorithms: Quantum computing can perform certain types of tasks much faster than classical computers. This insight helps identify which kinds of problems are best suited to be solved by quantum computing.
-
Technical Challenges and Future Prospects: Despite being in its early stages, the research explores how quantum computing might position itself within future computing landscapes amidst ongoing technical challenges.
📄 Full Paper Content (ArXiv Source)
📊 논문 시각자료 (Figures)












