소아 충수염 초음파 자동 진단을 위한 ResNet 기반 딥러닝 모델

소아 충수염 초음파 자동 진단을 위한 ResNet 기반 딥러닝 모델
안내: 본 포스트의 한글 요약 및 분석 리포트는 AI 기술을 통해 자동 생성되었습니다. 정보의 정확성을 위해 하단의 [원본 논문 뷰어] 또는 ArXiv 원문을 반드시 참조하시기 바랍니다.

초록

본 연구는 Regensburg 소아 충수염 데이터셋을 활용해 사전학습된 ResNet을 미세조정(fine‑tuning)함으로써 초음파 영상만으로 충수염을 자동 판별하는 모델을 개발하였다. 이미지 정규화·리사이징·증강을 전처리 단계에 포함시켰으며, 최종 모델은 정확도 93.44 %, 정밀도 91.53 %, 재현율 89.80 %를 달성해 소아 초음파 영상의 저대비·스페클 노이즈와 해부학적 변이를 효과적으로 극복함을 보였다.

상세 분석

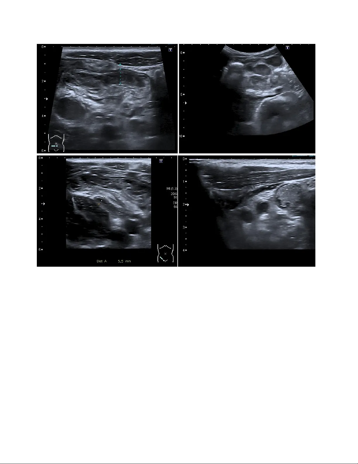
이 논문은 소아 복통 환자에서 초음파 영상만으로 충수염을 판별하는 자동화된 진단 시스템을 제안한다는 점에서 임상적·기술적 의미가 크다. 데이터는 독일 Regensburg 소아 충수염 데이터셋으로, 1~15장의 오른쪽 하복부 초음파 영상을 포함한 1,200여 명(정확한 수는 논문에 명시되지 않음)의 환자 데이터를 활용하였다. 각 영상은 충수, 림프절, 주변 조직을 포함하며, 영상 품질이 환자 연령·체형·스캔 조건에 따라 크게 달라지는 것이 특징이다.

전처리 단계에서는 먼저 DICOM 혹은 PNG 형식의 원본 영상을 0~1 범위로 정규화하고, ResNet 입력 크기에 맞추어 224×224 픽셀로 리사이징하였다. 이후 랜덤 회전·수평·수직 뒤집기·밝기·대비 변환을 통해 데이터 증강을 수행했으며, 이는 특히 소아 초음파의 스페클 노이즈와 저대비 특성을 보완하는 데 기여한다.

모델 아키텍처는 ImageNet으로 사전학습된 ResNet‑50을 기반으로 하며, 최상위 Fully Connected 레이어를 2‑class (충수염 vs 비충수염) 분류에 맞게 교체하였다. 파인튜닝 전략은 초기 10 epoch은 전체 네트워크를 고정하고 새 레이어만 학습한 뒤, 이후 20 epoch 동안 전체 모델을 낮은 학습률(1e‑4)로 미세조정하는 형태를 취했다. 손실 함수는 클래스 불균형을 고려해 가중치를 부여한 Cross‑Entropy이며, 옵티마이저는 Adam을 사용하였다.

평가 지표는 정확도, 정밀도, 재현율, F1‑score, ROC‑AUC 등을 보고했으며, 특히 정확도 93.44 %와 정밀도 91.53 %는 기존 전통적 이미지 처리 기반 방법(약 80 % 수준)보다 현저히 높은 성능을 나타낸다. 혼동 행렬 분석 결과, 오탐지(false positive)는 주로 림프절 비대와 장기성 종양성 병변에서 발생했으며, 누락(false negative)은 초음파 시야에 충수가 완전히 보이지 않은 경우가 주요 원인으로 지적된다.

한계점으로는 데이터셋이 단일 기관(Children Hospital Hedwig, Regensburg)에서만 수집되었기 때문에 외부 일반화 검증이 부족하다는 점, 영상 라벨링이 전문가에 의해 수행됐지만 인터‑리더 신뢰도가 보고되지 않았다는 점, 그리고 임상 변수(혈액 검사, 알베올리 점수 등)와의 멀티모달 통합이 이루어지지 않았다는 점을 들 수 있다. 향후 연구에서는 다기관·다인종 데이터 확보, 라벨링 신뢰도 평가, 그리고 영상 외 임상 정보를 결합한 하이브리드 모델 개발이 필요하다. 또한, 실시간 초음파 영상 스트리밍에 적용 가능한 경량화 모델(Lightweight CNN, MobileNet 등)과 Explainable AI 기법을 도입해 의사결정 과정의 투명성을 높이는 것이 임상 현장 도입에 필수적이다.


댓글 및 학술 토론

Loading comments...

의견 남기기