미분 역투영 기반 딥러닝으로 원뿔빔 CT 아티팩트 제거

미분 역투영 기반 딥러닝으로 원뿔빔 CT 아티팩트 제거
안내: 본 포스트의 한글 요약 및 분석 리포트는 AI 기술을 통해 자동 생성되었습니다. 정보의 정확성을 위해 하단의 [원본 논문 뷰어] 또는 ArXiv 원문을 반드시 참조하시기 바랍니다.

초록

본 논문은 원뿔빔 CT의 원형 궤도에서 발생하는 콘빔 아티팩트를, 미분 역투영(DBP) 도메인에 설계된 인코더‑디코더 CNN을 이용해 데이터‑드리븐 방식으로 복원한다. DBP 데이터를 코롤라 및 시상면으로 분리하고, 각 면에서 Hilbert 변환에 기반한 비선형 디컨볼루션을 학습한 뒤, 스펙트럼 블렌딩으로 두 결과를 결합해 누락된 주파수 영역을 보완한다. 실험 결과, 기존 모델 기반 반복 재구성보다 연산량은 크게 줄이면서도 재구성 품질이 우수함을 확인하였다.

상세 분석

이 연구는 원뿔빔 CT에서 원형 궤도가 Tuy 조건을 만족하지 못해 발생하는 고유의 주파수 손실을, 미분 역투영(DBP)이라는 중간 도메인으로 옮겨 해결한다. DBP는 원본 물체의 3‑D 라디얼 정보를 2‑D 평면에 투사하면서, Hilbert 변환 형태의 공간‑가변 필터 σ(x,ω,λ±)를 적용한다는 수학적 특성을 갖는다. 기존의 팩터화 기법은 이 필터를 이용해 각 평면을 독립적인 2‑D 역문제로 분해했지만, 변형된 좌표계(t, z₁(t), z₂(t)) 때문에 전통적인 컨볼루션으로는 복원이 어려웠다. 저자들은 이를 “비선형 디컨볼루션” 문제로 정의하고, 인코더‑디코더 구조의 CNN을 통해 입력 DBP g(t,z)와 목표 이미지 f(t,z) 사이의 매핑 T_Θ를 학습한다. ReLU 활성화는 입력 공간을 다수의 비중첩 영역으로 분할하고, 각 영역마다 선형 변환을 즉시 적용하도록 하여, 복잡한 비선형 연산을 효율적으로 근사한다. 또한, 네트워크 깊이와 스킵 연결을 활용해 지수적인 선형 표현력을 확보함으로써, 기존 TV‑정규화 기반 반복법이 요구하던 고비용 최적화 과정을 완전히 대체한다.

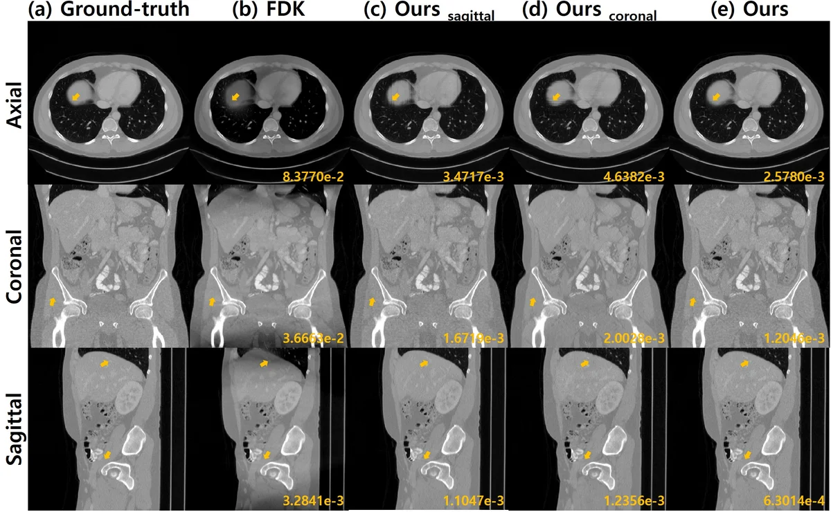
하지만 단일 평면에서 복원된 결과는 해당 평면에 특화된 누락 주파수 영역을 그대로 남긴다. 이를 보완하기 위해 저자들은 코롤라와 시상면 두 방향에서 각각 DBP‑CNN을 적용한 뒤, 2‑D 푸리에 변환을 통해 스펙트럼 영역을 얻고, “보우‑타입” 가중 마스크(w)로 각 방향의 누락 주파수를 억제한다. 최종 복원은 f_com = F⁻¹{ w·F{f_cor} + (1−w)·F{f_sag} } 형태로 두 스펙트럼을 혼합함으로써, 두 방향이 서로 보완하는 효과를 얻는다. 이 스펙트럼 블렌딩은 특히 고각도 원뿔빔에서 발생하는 스트리크 아티팩트를 크게 감소시킨다.

실험에서는 시뮬레이션 데이터와 실제 측정 데이터를 모두 사용했으며, 훈련은 노이즈가 없는 시뮬레이션으로 진행했음에도 불구하고, 노이즈가 섞인 실제 데이터에 대해 뛰어난 일반화 성능을 보였다. 또한, 동일한 네트워크를 다양한 콘빔 각도에 적용했을 때 재학습 없이도 안정적인 복원을 수행한다는 점에서, 학습된 필터가 물리적 기하학적 변동성을 내재적으로 학습했음을 시사한다. 전체 파이프라인은 전통적인 FDK + 반복 재구성 대비 10배 이상 빠른 실행 시간을 기록했으며, PSNR·SSIM 등 정량적 지표에서도 현저히 우수한 결과를 얻었다.

이러한 접근은 DBP 도메인에서의 딥러닝이 이미지 도메인보다 더 강력한 일반화와 효율성을 제공한다는 새로운 패러다임을 제시한다. 특히, Hilbert 변환 기반 디컨볼루션을 데이터‑드리븐 방식으로 근사함으로써, 기존 수학적 모델링의 복잡성을 딥러닝이 대체할 수 있음을 보여준다. 향후 연구에서는 다중 각도·다중 뷰 결합, 비정형 스캔 패턴, 그리고 실시간 인터벤션 이미징 등에 이 프레임워크를 확장할 가능성이 기대된다.


댓글 및 학술 토론

Loading comments...

의견 남기기