뇌 MRI 위험 장기 자동 분할을 위한 해부학적 일관성 강화 CNN

뇌 MRI 위험 장기 자동 분할을 위한 해부학적 일관성 강화 CNN
안내: 본 포스트의 한글 요약 및 분석 리포트는 AI 기술을 통해 자동 생성되었습니다. 정보의 정확성을 위해 하단의 [원본 논문 뷰어] 또는 ArXiv 원문을 반드시 참조하시기 바랍니다.

초록

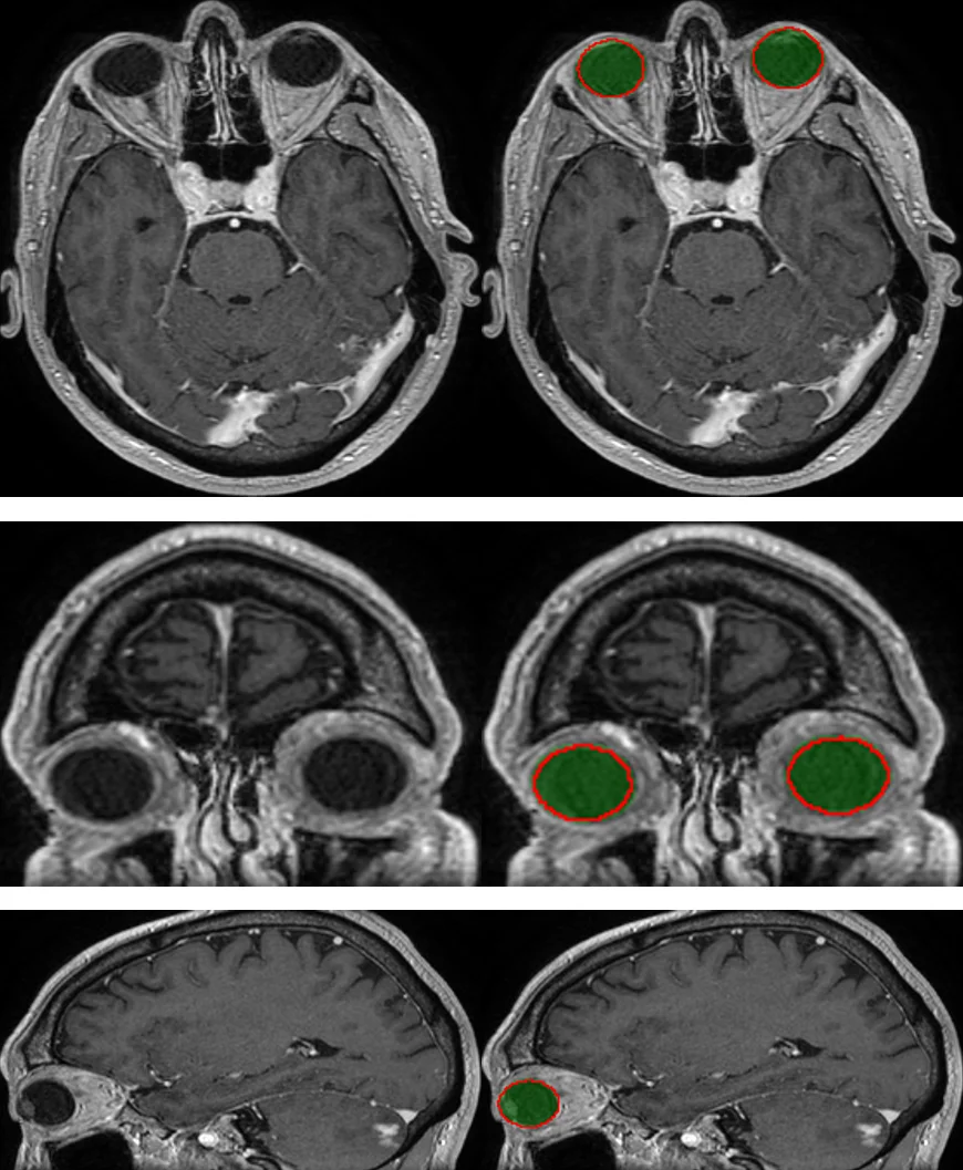
본 논문은 8가지 뇌 위험 장기(눈, 수정체, 시신경, 시교차, 뇌하수체, 해마, 뇌줄기, 뇌)를 MRI에서 자동으로 분할하는 2D U‑Net 기반 모델을 제안한다. 비배타적 클래스와 일부 장기에 대한 라벨 누락 문제를 해결하기 위한 가중치 기반 손실 함수와 샘플링 전략을 도입하고, 시신경‑눈‑시교차 연결성을 그래프 최단경로 알고리즘으로 후처리하여 해부학적 일관성을 확보한다. 44개의 학습용 MRI와 50개의 독립 테스트 MRI에서 평균 거리 오차 0.1~0.7 mm, 96 %의 임상 허용도를 달성하였다.

상세 분석

이 연구는 뇌 방사선 치료 계획에 필수적인 위험 장기(OAR) 분할을 자동화하기 위해, 2차원 U‑Net 구조를 변형한 다중 이진 분할 네트워크를 설계하였다. 기존의 다중 클래스 분할은 각 픽셀이 하나의 라벨만 가질 수 있는 배타적(class‑exclusive) 방식을 사용하지만, 본 논문은 눈‑수정체‑시신경 등 겹칠 수 있는 구조를 고려해 비배타적(non‑exclusive) 클래스를 허용한다. 이를 위해 각 클래스마다 독립적인 이진 분할 레이어를 두어, 동일한 픽셀이 여러 레이어에서 동시에 양성으로 표시될 수 있다.

라벨 누락 문제는 임상 데이터에서 흔히 발생하는데, 일부 환자는 특정 장기만 라벨링되어 있다. 저자들은 손실 함수에 클래스별 가중치를 적용해, 라벨이 존재하는 픽셀에만 학습 신호를 전달하고, 라벨이 없는 픽셀은 가중치 0으로 무시한다. 양성 픽셀에 할당되는 가중치는 전체 양성 픽셀 수에 대한 목표 비율 t_c 로 정규화되며, 음성 픽셀은 (1‑t_c) 로 보정된다. 이 방식은 클래스 불균형을 완화하고, 누락된 라벨이 있는 경우에도 다른 클래스의 정보를 활용해 학습이 진행되도록 한다.

학습 샘플링은 각 클래스별 바운딩 박스를 사전에 계산하고, 매 배치마다 모든 클래스에서 최소 하나의 양성 패치를 포함하도록 설계하였다. 배치 크기 M 은 클래스 수 C 보다 크게 잡아, C개의 패치를 클래스별로 고정하고 나머지는 무작위 혹은 대형 클래스(뇌) 중심으로 선택한다. 이러한 전략은 작은 구조(수정체, 시신경 등)의 학습을 보장한다.

후처리 단계에서는 해부학적 일관성을 강화하기 위해 그래프 기반 최단경로 알고리즘을 적용한다. 시신경은 눈과 시교차 사이를 연결하는 연속적인 구조여야 하므로, 신경망 출력 확률을 그래프의 엣지 가중치로 변환하고, Dijkstra 알고리즘으로 최소 비용 경로를 찾아 시신경을 재구성한다. 이 과정은 시신경이 끊어지거나 비현실적인 형태로 분할되는 오류를 크게 감소시킨다.

평가에서는 Dice, Hausdorff 거리, 평균 표면 거리(MSD)를 사용했으며, 44개의 교차 검증 데이터에서 평균 MSD가 0.1 mm~0.7 mm에 머물렀다. 독립 테스트 50건에 대해 방사선 종양학자가 임상적 사용 가능성을 평가했으며, 96 %가 ‘치료 계획에 사용 가능’으로 판정되었다. 이는 기존 3D CNN이나 atlas 기반 방법보다 높은 정확도와 효율성을 보여준다. 다만 2D 슬라이스 기반이므로 3D 연속성은 후처리 단계에서 완전히 보완되지 않을 수 있으며, GPU 메모리 제한을 극복하기 위한 트레이드오프로 볼 수 있다.


댓글 및 학술 토론

Loading comments...

의견 남기기