신경망과 서포트벡터머신을 활용한 사구체 과다세포증 자동 분류

본 논문은 인간 신장 조직 이미지에서 사구체 과다세포증을 자동으로 판별하기 위해 맞춤형 컨볼루션 신경망(CNN)과 서포트 벡터 머신(SVM)을 결합한 하이브리드 모델을 제안한다. 811장의 H&E·PAS 염색 이미지로 구성된 FIOCRUZ 데이터셋을 이용해 이진 및 다중 클래스(내강·중간·복합) 분류 실험을 수행했으며, 10‑fold 교차검증에서 이진 분류 정확도 99.5 % 이상, 다중 클래스에서는 96 % 이상의 정확도를 기록했다. 제안 모…

저자: Paulo Chagas, Luiz Souza, Ikaro Araujo

신경망과 서포트벡터머신을 활용한 사구체 과다세포증 자동 분류
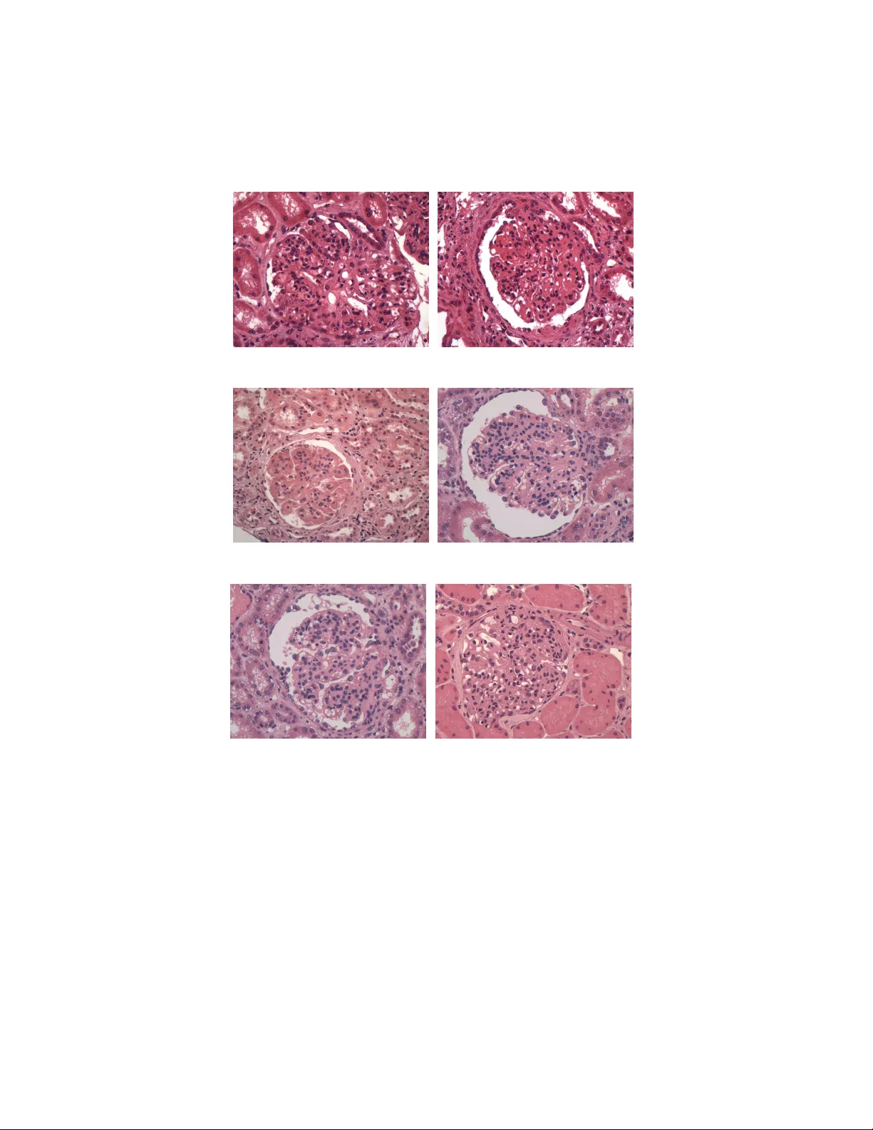
본 논문은 인간 신장 조직에서 사구체 과다세포증을 자동으로 식별하고 분류하기 위한 새로운 딥러닝 기반 접근법을 제시한다. 서론에서는 디지털 병리학의 발전과 사구체 병변이 신장 질환 진단에서 차지하는 중요성을 강조하고, 기존 연구들이 주로 전통적인 이미지 전처리와 k‑NN, SVM 등 고전적 분류기에 의존해 왔으며 데이터 양이 제한된 상황에서 과적합 문제가 발생한다는 점을 지적한다. 특히, Barros et al., 2017이 제시한 811장의 FIOCRUZ 데이터셋을 기반으로 한 연구가 현재 가장 대표적인 벤치마크이며, 이 데이터셋은 정상(300)과 과다세포증(511) 이미지로 구성되어 있다. 관련 연구 파트에서는 전통적인 특징 추출(텍스처, 색상, 형태)과 최근의 딥러닝 기반 방법을 비교한다. 기존의 CNN 모델(VGG, ResNet 등)은 파라미터가 많아 작은 데이터셋에 적용 시 과적합 위험이 크므로, 저자들은 자체 설계한 경량 CNN 아키텍처를 네 가지 제안하고, 각 아키텍처의 학습 안정성 및 검증 정확도를 비교하였다. 최종 선택된 Architecture 4는 6개의 컨볼루션 레이어와 5개의 맥스 풀링 레이어, 3개의 완전 연결 레이어, 그리고 소프트맥스 출력층으로 구성된다. 각 레이어 사이에 배치 정규화와 드롭아웃을 삽입해 일반화 성능을 향상시켰으며, 입력 이미지는 224×224 픽셀로 리사이즈하고 RGB 채널을 그대로 사용하였다. 학습은 Adam 옵티마이저(learning rate 1e‑4, decay 1e‑6)와 배치 크기 32, 총 200 epoch으로 진행되었으며, 90 % 훈련·10 % 검증 비율을 통해 초기 모델 선택을 수행하였다. CNN이 학습된 후, 마지막 풀링 단계에서 추출된 128차원 특징 벡터를 SVM에 입력한다. SVM은 선형, 다항식, RBF, 시그모이드 커널을 각각 시험했으며, 선형 커널이 가장 높은 정확도를 보였다. 이는 CNN이 이미 선형적으로 구분 가능한 특징 공간을 형성했음을 의미한다. 실험 설계는 이진 분류와 다중 클래스 분류 두 축으로 진행되었다. 이진 분류에서는 K‑fold 교차검증(K=2,3,5,10)을 적용했으며, 모든 경우에서 평균 정확도 99.5 % 이상, 민감도·특이도 모두 99 %에 근접하였다. 다중 클래스(내강, 중간, 복합, 정상)에서는 10‑fold 교차검증을 수행해 평균 정확도 96 %를 달성했으며, 오분류된 4 %의 샘플은 병리학자 3인이 재검토한 결과 대부분 주관적 판정 차이로 인한 것으로 확인되었다. 논문의 주요 기여는 다음과 같다. (1) 기존 전통적 방법을 대체할 수 있는 경량 CNN 기반 특징 추출기 설계, (2) 추출된 특징을 SVM에 연결해 높은 분류 성능을 달성, (3) 이진 및 다중 클래스 모두에서 기존 최고 성능을 초과하는 결과 제시. 또한, 모델이 비교적 적은 파라미터와 메모리 요구량을 갖추고 있어 임상 현장에서 실시간 추론이 가능하다는 실용적 장점도 강조한다. 한계점으로는 데이터가 한 기관·한 국가에 국한되어 외부 일반화 검증이 부족하고, 색상 변동이나 슬라이드 스캔 품질 차이에 대한 강인성이 충분히 검증되지 않았다는 점을 들 수 있다. 향후 연구 방향은 다기관·다국가 데이터셋을 통한 검증, 멀티스케일 및 멀티채널 특징 결합, 전이 학습을 활용한 모델 경량화 및 모바일/클라우드 환경 적용 등을 포함한다. 최종적으로, 본 연구는 사구체 과다세포증 자동 진단을 위한 기술적 토대를 마련하고, 병리학자의 작업 부담을 경감하며 진단 일관성을 높이는 데 기여한다.

원본 논문

고화질 논문을 불러오는 중입니다...

댓글 및 학술 토론

Loading comments...

의견 남기기