광학코히런스단층촬영 이미지 스페클 제거를 위한 레스넷 기반 범용 방법

본 논문은 OCT 영상의 스페클 노이즈를 감소시키기 위해 3가지 핵심 모듈(Convolution‑BN‑ReLU, Branch, Residual)로 구성된 ResNet 기반 딥러닝 모델을 제안한다. B‑scan 평균을 이용해 실질적인 ‘클린’ 이미지와 노이즈 이미지 쌍을 생성하고, MSE 손실로 학습한다. 실험 결과, 기존 Median, NLM, BM3D 필터 대비 PSNR·SSIM이 크게 향상되고, 평균 0.23 초의 처리 시간으로 실시간 임상…

저자: Cai Ning, Shi Fei, Hu Dianlin

광학코히런스단층촬영 이미지 스페클 제거를 위한 레스넷 기반 범용 방법
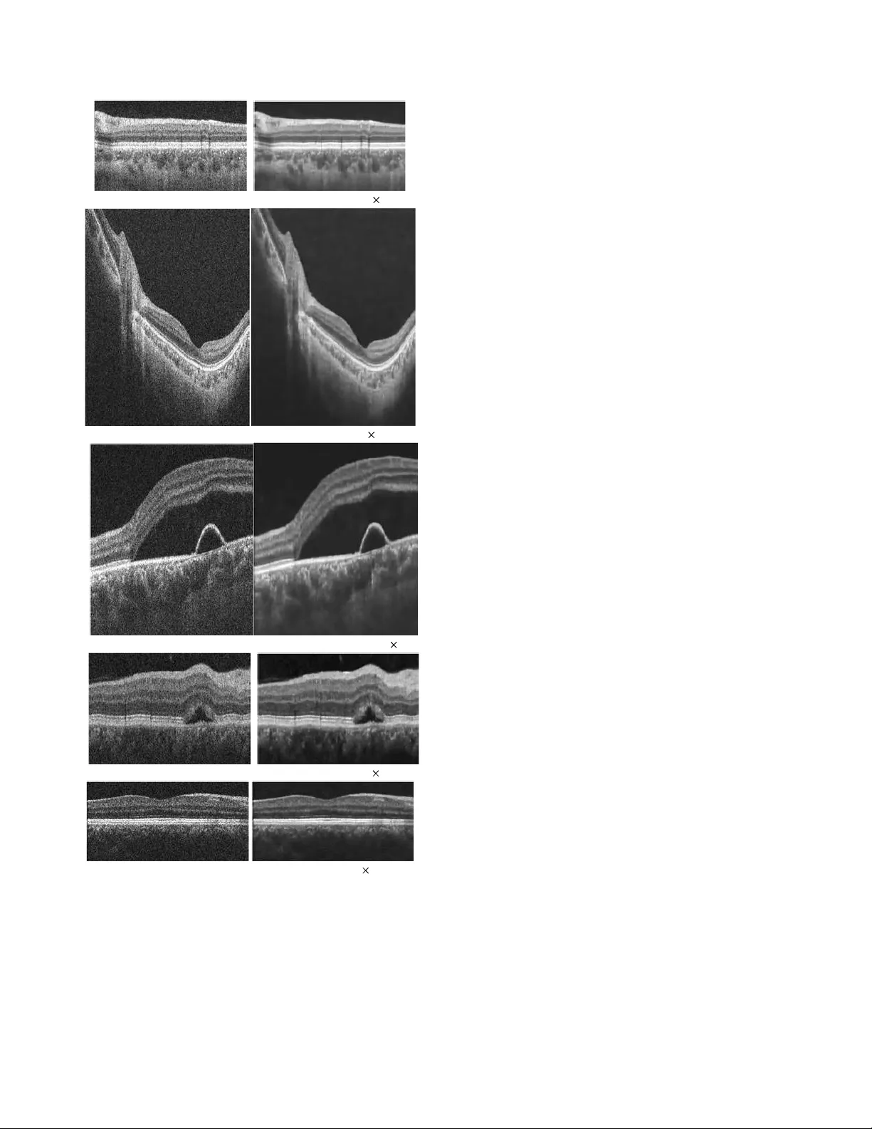
본 논문은 광학코히런스단층촬영(OCT) 영상에서 흔히 나타나는 스페클 노이즈를 효과적으로 제거하기 위해 ResNet 기반의 범용 딥러닝 모델을 설계하고, 이를 다양한 OCT 데이터에 적용한 결과를 보고한다. 서론에서는 OCT가 미세 구조를 고해상도로 촬영할 수 있지만, 스페클 노이즈가 영상의 대비와 진단 정확성을 저해한다는 점을 강조한다. 기존의 중간값 필터, 웨이블릿 기반 필터, 비등방성 확산 등은 잡음 억제는 가능하지만 구조 손실이나 과도한 블러링을 초래한다는 한계를 지적한다. 또한 사전 학습된 딕셔너리 기반 방법은 학습 시간이 길고, 일반화가 어려운 문제점이 있다. 이에 저자들은 Residual Learning을 도입한 깊은 컨볼루션 신경망을 설계하였다. 모델은 크게 세 종류의 모듈로 구성된다. 첫 번째인 Convolution‑BatchNorm‑ReLU(CBN) 모듈은 기본적인 컨볼루션 연산 후 배치 정규화와 ReLU 활성화를 적용해 저수준 특징을 추출한다. 두 번째인 Branch 모듈은 동일 입력에 대해 서로 다른 깊이의 CBN 블록을 병렬로 적용하고, 결과를 합산함으로써 네트워크의 폭을 넓혀 다양한 스케일의 정보를 동시에 학습한다. 세 번째인 Residual 모듈은 입력을 그대로 스킵 연결하고, 두 번의 컨볼루션 연산을 거친 결과를 더해 기울기 소실을 방지하고 학습 효율을 높인다. 전체 네트워크는 12개의 레이어로 구성되며, 각 레이어에 64개의 3×3 필터를 고정 배치한다. 이는 메모리 제한 하에서도 충분한 표현력을 확보하기 위한 설계 선택이다. 학습 데이터는 OCT 영상에서 ‘클린’ 이미지가 존재하지 않는다는 점을 고려해, 동일 환자의 다중 B‑scan을 정밀 정합 후 평균을 취해 스페클이 크게 감소된 근사 ‘클린’ 이미지를 만든다. 구체적으로, M=20개의 볼륨 중 하나를 타깃으로 선택하고, 나머지 볼륨에서 N=7개의 인접 B‑scan을 정합한다. 정합된 이미지 중 구조 유사도(SSIM)가 높은 L=10개를 선택해 평균화하고, 이를 ‘클린’ 이미지로 사용한다. 이렇게 생성된 (노이즈, 클린) 쌍을 이용해 네트워크는 노이즈 이미지를 직접 예측하도록 학습한다. 손실 함수는 평균 제곱 오차(MSE)이며, 이는 예측된 노이즈와 실제 노이즈 간 차이를 최소화한다. 실험에서는 Topcon Atlantis DRI‑1 SS‑OCT 스캐너로 촬영한 20개의 볼륨(992×512×256) 중 24개의 B‑scan을 학습·검증에 사용하고, 나머지 10개의 B‑scan을 테스트에 활용하였다. 10‑fold 교차 검증을 통해 과적합을 방지하고, 조기 종료 기준을 적용했다. 또한, Topcon OCT‑1000, Zeiss 4000 등 다른 스캐너와 넓은 시야 모드, 병변이 포함된 데이터에도 동일 모델을 적용해 일반화 능력을 평가하였다. 정량적 결과는 표 1에 요약된다. 제안된 방법은 평균 PSNR 34.8 dB, SSIM 0.53을 기록했으며, 이는 Median Filter(31.7 dB, 0.32), NLM(32.4 dB, 0.34), BM3D(33.4 dB, 0.35)를 모두 능가한다. 특히 중심 B‑scan과 주변 B‑scan 모두에서 구조 보존이 뛰어나며, 미세한 혈관이나 외부 경계막까지 선명하게 복원한다. 시각적 비교(Fig.3, Fig.4)에서도 제안 방법이 노이즈는 크게 억제하면서도 가장자리와 텍스처를 유지하는 것이 확인된다. 처리 시간은 GPU 환경에서 평균 0.23 초로, 기존 NLM(418 초)이나 BM3D(4.21 초)보다 현저히 빠르다. 결론에서는 제안된 ResNet 기반 모델이 OCT 스페클 감소에 있어 높은 PSNR·SSIM, 빠른 처리 속도, 그리고 다양한 스캐너와 병변에 대한 높은 일반화 성능을 동시에 달성했다고 정리한다. 또한, 현재는 128×128 패치 기반 학습으로 전역 컨텍스트 활용이 제한적이며, B‑scan 평균을 ‘클린’ 기준으로 삼는 과정에서 미세 구조가 일부 손실될 가능성이 있음을 언급한다. 향후 다중 스케일 피라미드 구조 도입, 실제 임상 라벨링 데이터와의 혼합 학습, 그리고 경량화된 모델 설계를 통해 실시간 임상 적용을 더욱 강화할 수 있을 것으로 제시한다.

원본 논문

고화질 논문을 불러오는 중입니다...

댓글 및 학술 토론

Loading comments...

의견 남기기