파충류와 조류의 골밀도 조직에서 전형적 하버시안 시스템 부재

파충류와 조류의 골밀도 조직에서 전형적 하버시안 시스템 부재
안내: 본 포스트의 한글 요약 및 분석 리포트는 AI 기술을 통해 자동 생성되었습니다. 정보의 정확성을 위해 하단의 [원본 논문 뷰어] 또는 ArXiv 원문을 반드시 참조하시기 바랍니다.

초록

본 연구는 도마뱀, 나일 모니터, 참새, 오리, 거위의 대퇴골을 조직학적으로 분석하여 포유류에서 흔히 관찰되는 전형적인 하버시안 시스템이 이들 비포유류에서는 거의 나타나지 않음을 확인하였다. 파충류는 혈관이 거의 없거나 제한적으로 분포했으며, 조류는 주로 원시 골소관과 드문드문 나타나는 하버시안 조직으로 구성되었다. 이러한 차이는 종 간 골 구조와 생리학적 적응을 이해하는 데 중요한 단서를 제공한다.

상세 분석

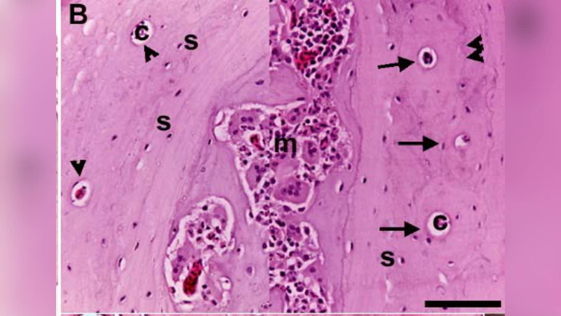
이 논문은 비포유류인 파충류와 조류의 대퇴골을 대상으로 조직학적 차이를 정밀히 규명함으로써, 기존에 포유류 중심으로 축적된 하버시안 시스템 개념이 보편적이지 않다는 점을 과학적으로 입증한다. 연구에 사용된 표본은 지구라시(Gecko), 나일 모니터(Nile monitor), 참새(Sparrow), 오리(Duck), 거위(Goose)이며, 모두 10% 파라포름알데히드 고정 후 파라핀 임베딩, H&E 및 Von Kossa 염색을 통해 현미경으로 관찰하였다.

첫 번째 주요 결과는 파충류 골 조직의 혈관 분포 차이다. 지구라시의 골 조직은 거의 무혈관성(avascular)이며, 골세포(lacunae)와 골소관(vascular canal)이 거의 관찰되지 않는다. 반면 나일 모니터는 고도로 혈관화된 구조를 보여, 원시 골소관(primary vascular canals)이 풍부하고, 이들 주변에 불규칙하게 배열된 골세포가 존재한다. 이는 파충류 내에서도 서식 환경·대사 요구에 따라 골 혈관화 정도가 크게 달라질 수 있음을 시사한다.

두 번째로, 조류의 경우는 종마다 차이를 보인다. 참새의 골 조직은 한쪽 면은 혈관이 풍부하고, 반대쪽 면은 거의 무혈관성을 나타내어, 골의 비대칭적 혈관 분포가 가능함을 보여준다. 오리와 거위는 대부분의 골 조직이 ‘dense Haversian tissue’라 불리는 고밀도 하버시안 조직으로 구성되어 있으나, 이 조직 역시 전형적인 포유류 하버시안 시스템과는 차이가 있다. 구체적으로는 골소관이 비교적 넓고, 골세포가 불규칙하게 배열된 원시 골소관(primary osteons)이 일부 영역에 국한되어 존재한다.

세 번째로, 연구는 조직학적 염색 결과를 통해 무기질 침착 양상에도 차이를 발견한다. Von Kossa 염색에서 조류 골 조직은 광범위한 칼슘 침착을 보였으며, 이는 높은 골밀도와 연관된다. 반면 파충류는 전반적으로 무기질 함량이 낮고, 특히 지구라시에서는 거의 검출되지 않아, 골 조직의 기계적 강도와 성장 패턴이 포유류와는 다른 경로를 택했을 가능성을 제시한다.

이러한 결과는 ‘하버시안 시스템’이라는 용어가 포유류 골 조직에 특화된 구조적·기능적 모델임을 재확인한다. 비포유류에서는 원시 골소관과 제한된 하버시안 조직이 혼재된 형태가 일반적이며, 이는 종의 진화적 배경, 생활 습관(예: 서식 환경, 이동 방식), 대사 요구 등에 따라 골 조직이 최적화된 결과라 할 수 있다. 또한, 연구 방법론 측면에서 고정·염색·현미경 관찰이라는 전통적 조직학적 접근이 비포유류 골 구조를 이해하는 데 충분히 유용함을 보여준다. 향후 전자현미경, 마이크로CT, 기계적 시험 등을 결합하면 골 미세구조와 물리적 특성 간의 상관관계를 보다 정량적으로 규명할 수 있을 것이다.

결론적으로, 이 논문은 파충류와 조류의 골 조직이 포유류와 근본적으로 다른 미세구조적 특징을 가지고 있음을 명확히 제시하며, 골생물학 및 비교해부학 분야에서 비포유류 모델을 활용한 연구의 필요성을 강조한다.


댓글 및 학술 토론

Loading comments...

의견 남기기