뇌 확산 방향 지도에서 거짓 발견율 제어 분석

뇌 확산 방향 지도에서 거짓 발견율 제어 분석
안내: 본 포스트의 한글 요약 및 분석 리포트는 AI 기술을 통해 자동 생성되었습니다. 정보의 정확성을 위해 하단의 [원본 논문 뷰어] 또는 ArXiv 원문을 반드시 참조하시기 바랍니다.

초록

이 논문은 확산 텐서 영상(DTI)으로 얻은 뇌의 주축 확산 방향 데이터를 두 집단(정상·난독증) 간에 비교하기 위해, 양극 왓슨 분포 기반 검정통계량을 정의하고, 경험적 영가설(empirical null)과 공간 평균(smoothing)을 결합한 거짓 발견율(FDR) 제어 절차를 제시한다. 이를 통해 백색질 전체 20,931개의 voxel에서 의미 있는 방향 차이를 검출하고, 기존의 스칼라 지표(FA)보다 넓은 영역에서 구조적 차이를 밝혀낸다.

상세 분석

본 연구는 DTI에서 추출한 각 voxel의 주축 확산 방향을 3차원 단위벡터로 표현하고, 이 데이터가 부호 대칭(±x 동일) 특성을 갖는다는 점에 착안해 양극 왓슨(bipolar Watson) 분포를 확률 모델로 채택하였다. 왓슨 분포는 평균 방향 µ와 집중도 파라미터 κ로 정의되며, 밀도함수는 exp(κ(µᵀx)²) 형태로 부호 대칭을 자연스럽게 보장한다. 샘플 평균 방향은 scatter matrix S= (1/n)∑xᵢxᵢᵀ의 최대 고유벡터로 추정하고, 분산은 s=1−γ(γ는 S의 최대 고유값)로 정의한다. 이때 s는 κ⁻¹의 최대우도 추정량에 해당한다.

두 집단 간 차이 검정은 각 voxel마다 두 샘플(각 집단)의 평균 방향 차이를 검정통계량 u로 변환하고, 귀무가설 하에서 u는 F분포(자유도는 샘플 크기에 의존)로 근사된다. 그러나 전체 voxel 수가 수만 개에 달하므로 개별 귀무분포를 정확히 추정하기 어렵다. 이를 해결하기 위해 Efron(2004)의 경험적 영가설 개념을 차용, 전체 통계량의 경험적 분포를 이용해 전역 파라미터(위치·스케일)를 추정하고, 실제 검정통계량의 영가설 밀도를 조정한다. 이렇게 얻은 경험적 영가설은 특히 샘플 크기가 작아 정규 근사가 부정확할 때 유용하다.

다음 단계는 다중 비교 문제에 대한 거짓 발견율(FDR) 제어이다. 저자는 Storey·Taylor·Siegmund(2004) 방법을 적용해 q값을 추정하고, 목표 FDR 수준(예: 0.05) 이하인 voxel을 ‘흥미로운’ 영역으로 선정한다. 기존 뇌 영상 연구에서 흔히 쓰이는 전체 뇌 영역에 대한 가족 오류율(FWER) 제어와 달리, FDR는 선택적 검출에 초점을 맞추어 보다 높은 검출력을 제공한다.

또한, 뇌 영상 데이터는 공간적 연속성을 갖기 때문에, 저자는 검정통계량 지도에 로컬 평균(smoothing) 필터를 적용해 잡음 분산을 감소시켰다. 공간 평균은 인접 voxel들의 통계량을 평균함으로써 신호 대 잡음비를 향상시키며, 경험적 영가설을 재추정해 스무딩 후에도 올바른 영가설 밀도를 유지한다. 이 과정은 FDR 기반 검정의 검출력을 크게 높이며, 실제 데이터에서 의미 있는 영역을 더 넓게 포착한다.

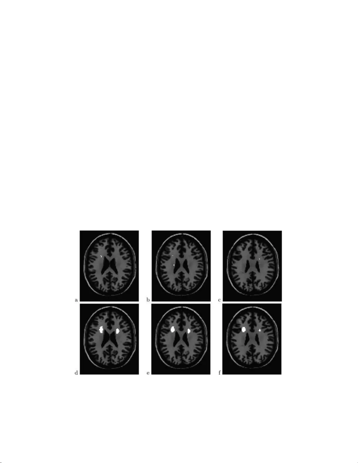
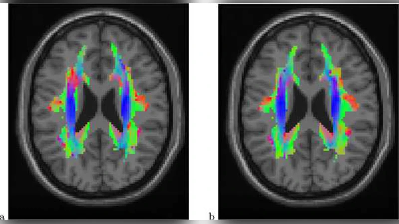
실험에서는 6명의 정상군과 6명의 난독증군, 총 12개의 확산 방향 지도(95×79×68 voxel)를 사용하였다. 모든 이미지가 MNI 템플릿에 정합(registration)된 후, 백색질 마스크(20,931 voxel) 내에서 분석을 수행했다. 경험적 영가설과 공간 스무딩을 적용한 결과, 기존 FA 기반 분석이 탐지한 120 voxel에 비해 수백 개에 달하는 voxel에서 유의한 방향 차이가 발견되었으며, 특히 상부 좌측 백색질 영역에서 정상군과 난독증군 사이에 뚜렷한 방향 전이 차이가 관찰되었다.

이 논문의 주요 기여는 (1) 양극 왓슨 분포를 이용한 방향 데이터 전용 검정통계량 정의, (2) 경험적 영가설을 통한 소규모 샘플에서도 신뢰할 수 있는 영가설 추정, (3) 공간 스무딩과 결합한 FDR 제어로 검출력 향상, (4) 이러한 방법론을 DTI 방향 지도에 적용해 실제 신경학적 차이를 밝혀낸 점이다. 제안된 프레임워크는 방향성 데이터뿐 아니라 연속적인 공간 구조를 갖는 다른 대규모 다중 검정 문제에도 확장 가능하다.


댓글 및 학술 토론

Loading comments...

의견 남기기